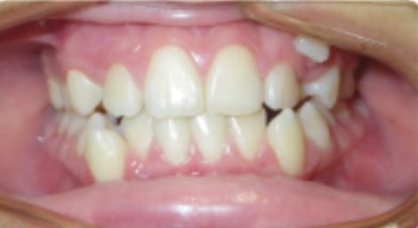
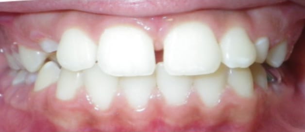
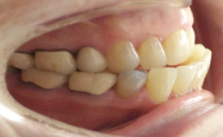
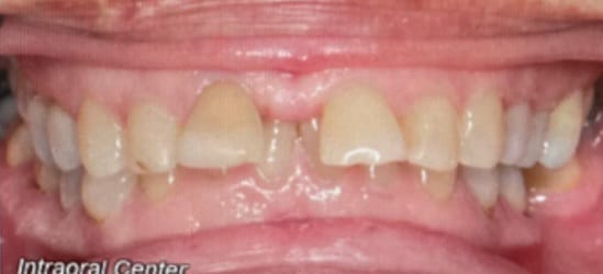
Smile Transformations & Clinic Gallery
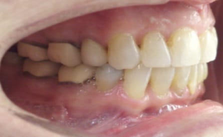
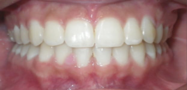
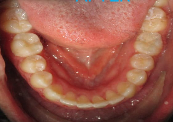
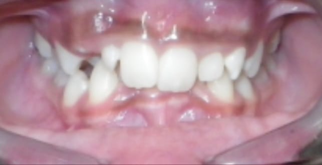
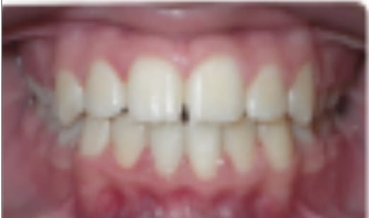
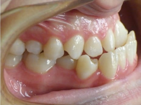
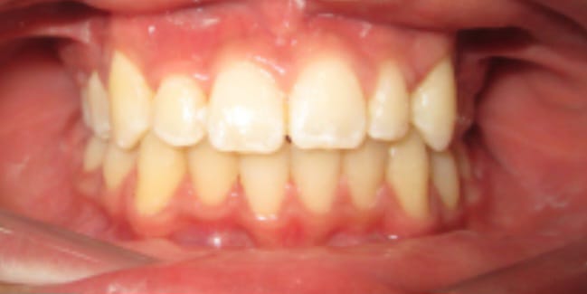
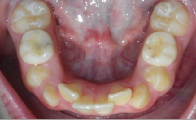
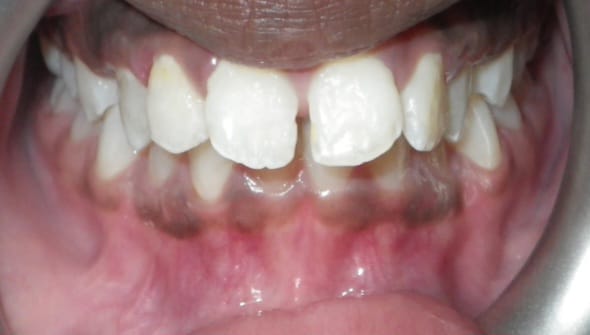
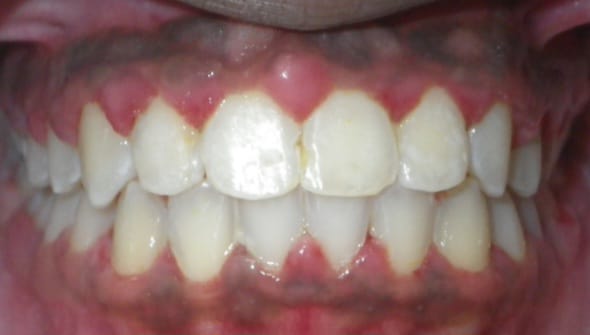
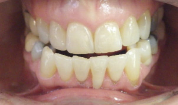
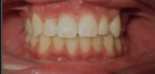
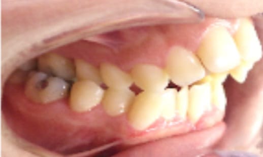
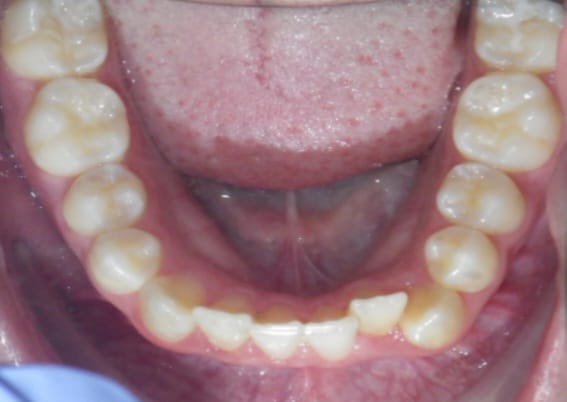
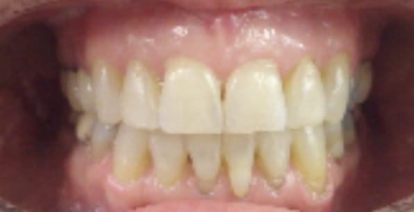
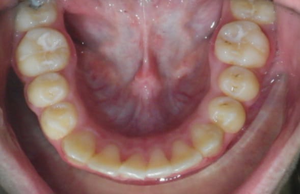
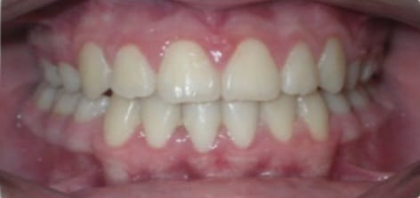
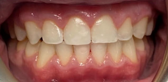
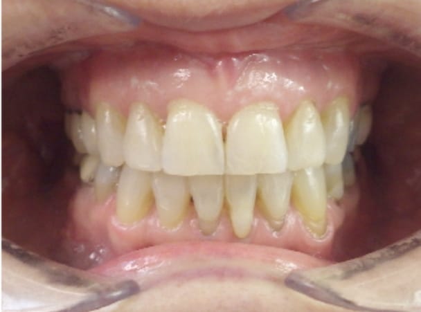
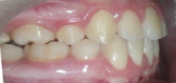
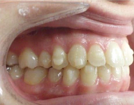
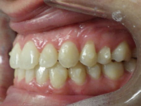
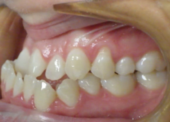
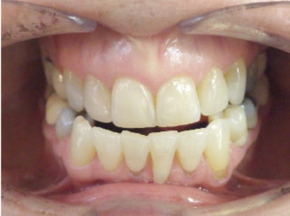
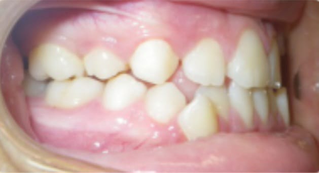
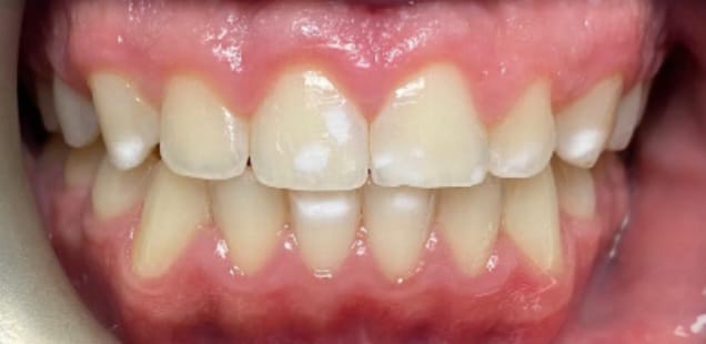
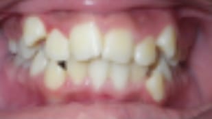
BEFORE AND AFTER
Real Smile Results from Real Patients
Witness the confidence-changing power of professional orthodontic and pediatric dental care through real before & after transformations. These cases represent a variety of orthodontic and pediatric dental treatments performed by our experienced specialists.




Ready to Start Your Smile Journey?
Contact us today to schedule your child’s next check-up or to book your complimentary orthodontic consultation. We look forward to welcoming you to the Joie Smiles family.